
Симптомы дисфункции ВНЧС во многом схожи с проявлениями неврологических заболеваний. Поэтому врачу-гнатологу важно разбираться в неврологической симптоматике и уметь отличать неврологические жалобы от проявлений дисфункции ВНЧС. Только точная диагностика позволяет установить верный диагноз.






Я работаю в нейромышечной концепции, восстанавливая естественный баланс мышц, сустава и прикуса. Лечение проходит без таблеток, мазей и компрессов — только через точную диагностику и работу с причинами. Методики направлены на расслабление мышц, снятие боли и возврат нормальной подвижности сустава.
Цель моего лечения — полностью устранить истинные причины дисфункции ВНЧС.



В результате применения вы сможете открывать рот до нормальной величины 40–45 мм.
За годы практики я помог сотням пациентов избавиться от боли в челюсти, щелчков, ограничения подвижности, головных болей и других проявлений дисфункции ВНЧС. Мой путь в профессии — это
Важным этапом моего профессионального роста стало обучение в Бостонском институте эстетической медицины у Константина Ронкина, международно признанного эксперта в нейромышечной стоматологии.
Моё главное достижение — множество благодарных пациентов, которые нашли решение своей проблемы.

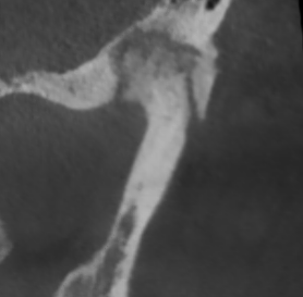
Перед началом лечения я провожу часовую первичную консультацию. Для этой встречи вам необходимо сделать «МРТ ВНЧС» и «КЛКТ двух челюстей с захватом ВНЧС в привычном прикусе».
Во время консультации мы смотрим и анализируем ваши исследования. Я подробно объясняю строение ВНЧС, показываю все причинные факторы вашей проблемы, отвечаю на все вопросы «Почему?»
Далее я составляю комплексный план лечения, где подробно объясняю алгоритм дальнейших действий.
Цель этой консультации – вы должны понять этот диагноз также ясно, как понимает его любой доктор.
Если вы проживаете в области или другом городе и планируете начать лечение, вы сможете пройти МРТ и КЛКТ и получить первичную консультацию в один день. Это позволяет рационально спланировать поездку и избежать повторных визитов.
Стоимость первичной консультации — 2000 рублей.
Если вы проживаете не в Волгограде, я могу провести нашу первую консультацию дистанционно, используя приложение Яндекс Телемост.
Ко мне часто приезжают пациенты из других городов. Я ценю ваше время и понимаю, насколько важно использовать визит максимально эффективно. Поэтому подготовка начинается ещё до вашей поездки. Онлайн-консультацию мы можем провести как в рабочие, так и в вечерние часы — подберём удобное для вас время.
На консультации я подробно изучу ваши жалобы, отвечу на все ваши вопросы и объясню, как будет происходить лечение. Я поэтапно опишу алгоритм терапии, особенности комплексного подхода и составлю для вас понятный и детальный план действий.
Такая предварительная встреча помогает учесть важные нюансы и позволяет максимально эффективно организовать ваше лечение, когда вы приедете ко мне.

Перед консультацией все пациенты задают одинаковые повторяющиеся вопросы. Я обобщил их и ответил на них в этом разделе.









Напишите мне через эту короткую форму.